ULTRASONIDOS DE ALTA ESPECIALIDAD
Realizados con equipo de alta resolución y tiempo suficiente para una revisión rigurosa
Ultrasonido Genético


Tamizaje del Primer Trimestre, se realiza entre la semana 11 y 14.
Es la primera evaluación profunda de su salud, su formación y su bienestar.




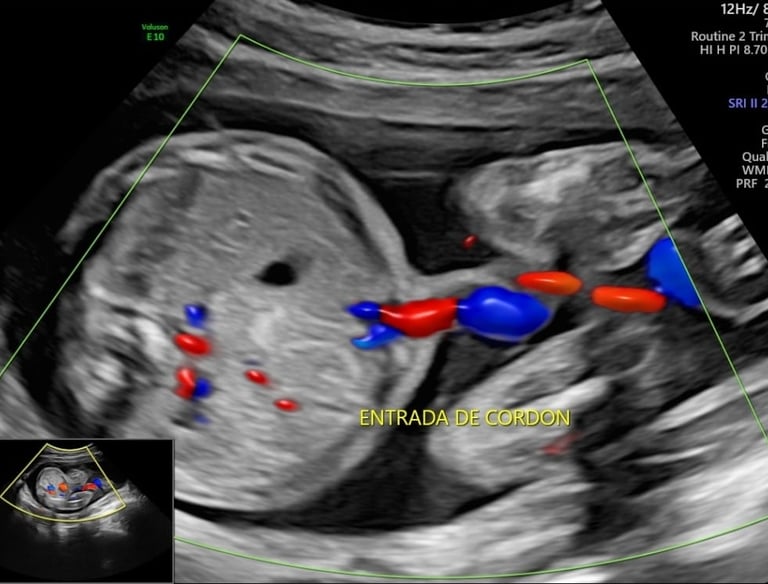
Ultrasonido Estructural
Es la revisión más importante y detallada de todo tu embarazo.
Este estudio, se realiza entre las semanas 18 y 22, es el "check-list" de salud más completo para tu bebé.
Seguimiento del crecimiento fetal, líquido amniótico, placenta y circulación materno-fetal mediante Doppler.